Калькуляторы
Сравнение
Корзина

Обзор функции УЗИ: Auto EF - автоматического расчета фракции выброса

Дата публикации: 18.05.2020

Какой параметр измеряется всегда, в любом эхокардиографическом исследовании? Вы правы, конечно же фракция выброса левого желудочка. Оценка степени сокращения миокарда одна из главных задач. Именно этот показатель вносит наибольший вес в выбор тактики лечащим врачом.
 
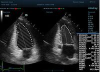
С появлением В режима реализовалась возможность визуализации всех сегментов миокарда из парастернальных и апикальных сечений. Метод Teicholtz в широкой практике сменился методом дисков. Метод дисков, или метод Simpson, позволяет разбить левый желудочек на 20 дисков, с расчетом объема каждого из них. Используя 2 перпендикулярных сечения, апикальные двух и четырех камерное, мы приближаемся к значению реального объема левого желудочка. Исследователь обводит интерфейс эндокард – кровь в фазу диастолы и фазу систолы. Линия простирается от кольца митрального клапана и до кольца митрального клапана, четко разграничивая объем желудочка от предсердия. Для достоверного изменения необходимо использовать ЭКГ канал.
 
Обводить вручную эти линии занимало много времени, однако результат того стоил. Следующим шагом стало появление Spline технологии, позволяющее расставлять точки и автоматически их соединять. Такой способ планиметрии контура эндокарда значительно сократил время измерения.
 
Таким образом программный алгоритм может упростить задачу опытного доктора, экономя его время на настройку допплеровских режимов. Mindray Resona может выступать и в качестве «учителя» для докторов-новичков, показывая примеры правильной работы в процессе оптимизации.
 
Что могут предложить современные приборы? Приборы нашего времени являются мощными вычислительными машинами, способными обрабатывать полученную информацию даже без помощи человека. Система автоматического вычисления фракции выброса – AUTO EF на приборах серии Resona компании Mindray сделает все за вас. За пару секунд прибор сам отыщет нужную фазу сердечного цикла и произведёт измерение и расчеты, а также покажет график изменения объема в сердечном цикле. От Вас требуется только получить качественное 4С и 2С сечение. Впрочем, прибор всегда оставляет возможность коррекции, если доктор имеет свое мнение на расположение точек планиметрии или момента измерения по ЭКГ каналу.
Все статьи Следующая статья
Награды Mindray
Официальный дистрибьютор Mindray
MEDLIGA - официальный дистрибьютор Mindray №1 в России*

8 лет лидерства (2017-2024 г.)

* ежегодная аналитика компании Mindray

Сервисный центр Mindray
MEDLIGA - Золотой сервисный центр Mindray

Сервисный центр удостоен награды Mindray “Gold Service Channel” по итогам 2020, 2022, 2023 и 2024 гг.

Связанные товары
Категории и бренды в статье