Калькуляторы
Сравнение
Корзина

Радиология: случай пилоцитарной астроцитомы

Дата публикации: 20.05.2020

Пилоцитарная астроцитома (ювенильная пилоцитарная атроцитома) - является наиболее распространенным глиальным образованием ЦНС у детей. Характеризуется относительно доброкачественным течением и медленным темпом роста (grade I ВОЗ 2016). На долю пилоцитарных астроцитом приходится до 5% всех внутричерепных образований и до 7% всех глиальных опухолей. Обладает одним из самых высоких показателей выживаемости –10 летний период около 94%. Пик встречаемости 5 -13 лет. Наиболее частая локализация – мозжечок - около 65%. В 35% случаев – поражения могут встречаться в зрительных нервах и хиазме, в структурах гипоталамуса, ствола мозга, базальных ганглиев, реже в спинном мозге. Как правило данные образования протекают бессимптомно до тех пор, пока они не достигнут больших размеров, тем самым вызывая явления окклюзионной гидроцефалии.
 
Пилоцитарная астроцитома – это опухоль, которая является исключением из правил злокачественности («the tumor that is the exception to the rules of malignancy»), так как , несмотря на низкую степень анаплазии (grade 1 ВОЗ 2016),  обладает выраженной микрососудистой пролиферацией, инфильтрацией окружающих тканей и структур, наличием некрозов и микрокровоизлияний, а так же нередко лептоменингеальным распространением, тем самым демонстрируя рентгенологические и гистологические характеристики аналогично образованиям высокой степени злокачественности (grade 3, 4 ВОЗ 2016).
 
Чаще всего диагноз пилоцитарная астроцитома предполагается на основании нейровизуализации, поэтому важно, чтобы врач-рентгенолог обладал знаниями о рентгенологических характеристиках этого типа опухоли.
 
Представлен случай пилоциторной астроцитомы (grade 1 ВОЗ 2016), у девочки 3х лет, с жалобами на головные боли, тошноту, множественные эпизоды рвоты.
 
МРТ головного мозга и DSC-перфузия. Крупное отчетливо отграниченное образование, локализованное в гипоталамической области, с распространением в 3й желудочек (с признаками окклюзии последнего, вызывая бивентрикулярную гидроцефалию), межножковую и предмостовую цистерны. На постконтрастных T1-ВИ отмечается выраженное, относительно гомогенное контрастирование опухоли с зоной центрального некроза и наличием единичного узелка отсева в область хиазмы (красная стрелка), кроме того визуализируется сеть патологически расширенных сосудов и наличие микрокровоизлияний на ИП SWAN (зеленая стрелка). На перфузионных картах образование демонстрирует неоднородное повышение значений rCBV вокруг некроза (желтая стрелка) без видимого ограничения диффузии.
 
N.B.:
 
Высокие значения ADC могут быть использованы в качестве надежного фактора , указывающего на низкую клеточность пилоцитарных астроцитом. Повышение перфузионных показателей rCBV демонстрируют худшие диагностические критерии и являются не патогномоничными, поскольку пилоцитарные астроцитомы очень часто отражают высокие значения rCBV, таким образом имитируя опухоли высокой степени злокачественности. Вазогенный отек встречается редко - эта особенность так же является ценным ключом в постановке диагноза.
 
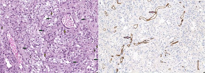
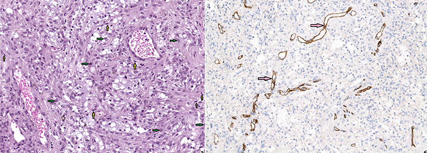
Микроскопическое описание (Увеличение х10. Окраска гематоксилин и эозин).
 
а. На гистологическом  срезе показаны фрагменты опухоли с бифазной структурой:  с наличием пилоидного (желтые стрелки) и астроцитарного (зеленые стрелки) компонентов. б. Отчетливо демонстрирована пролиферация эндотелия сосудов с формированием характерных «цепочек»,  маркер CD34 (розовые стрелки).
 
Заключение: Пилоцитарная астроцитома (grade 1 WHO 2016).
 
Компания MEDLIGA имеет большой опыт в поставке высокотехнологичного оборудования. От подбора и проектирования, до ввода в эксплуатацию и обучения персонала. Радиологическое оборудование представлено в разделах: Рентгеновские аппараты и Компьютерные томографы. Вас также могут заинтересовать Магнитно-резонансные томографы.
Все статьи Следующая статья